微清医疗完成数千万元C轮融资,加速提升中国高端眼科影像设备全球市占率
疫情岁月,共克时艰,微清宣布完成数千万元人民币C轮融资,以推进其超广角激光彩照、共焦造影及系列产品的研发与销售,加速布局眼科高端影像全系列产品,推进其产品全球化销售。本次融资由德屹资本独家投资,点石资本担任独家财务顾问。
微清医疗是一家专注于眼科高端影像与智能设备研发、生产和销售的高新技术企业,其自主研发的超广角共聚焦激光眼底彩照和造影、眼底照相机、视力筛查仪等系列产品已获中国、美国、欧盟等医疗器械注册证。公司通过国际ISO9001等体系认证,覆盖超过2000家大型医院,出口欧美等50多个国家和地区,拥有超过100项国内外专利,形成了眼科高端影像与智能化筛查产品生态,正逐步构建其全球化渠道销售体系,在客户中树立高端中国制造的品牌,其技术优势和产业化布局简述如下:
一:微清超广角共聚焦造影技术
国内独家全球领先
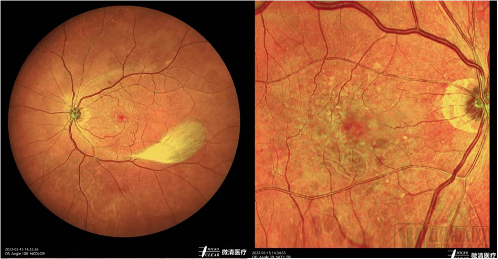
中国眼科市场存在以下痛点亟待解决,包括眼科医生相对稀缺,设备严重依赖进口,价格昂贵,医患负担重等。微清团队自主研发推出了超广角激光彩照、超广角激光造影等眼科影像产品,为首个将“超广角共聚焦激光技术”应用于眼科影像设备的中国企业,打破国外垄断,以领先的智慧化水平弯道超车。视网膜、脉络膜造影是眼底病诊断的金标准,微清是国内独家能开发共聚焦眼底超广角造影的企业,目前该系列产品已装机全国200+三甲医院。
微清超广角共聚焦激光同步造影
同时,微清医疗也在横向应用领域开展更多探索,联合国内多家著名眼科医院,对青光眼、糖尿病视网膜病变等各种眼科病例进行分类标注分析,成功推出首个基于超广角激光相机的“眼底病风险评估系统”,实现本地化部署,无需联网,实现AI辅助分析与眼底病风险评估,同时充分保障医患数据的隐私。
二:引领眼底成像由传统光学相机时代
进入超广角激光相机时代
相比于传统光学成像方式,共聚焦激光技术是点对点的扫描,即每一个“点”都是焦点,可观察到更细微的视网膜病变及毛细血管功能及形态,可针对各种糖尿病、青光眼、视网膜血管性病变、黄斑变性等疾病进行深层次、细节化的眼底检测。
传统的光学眼底照相机在眼底成像市场占据主流,典型如TOPCON、CANNON等厂家的年出货量超过2万台。但是光学相机在眼底成像方面面临以下临床痛点:
1、LED光学照明穿透力差,对屈光介质浑浊患者无法清晰成像;
2、光学相机最小瞳孔一般为3.5mm及以上,针对老年人等小瞳孔患者无法清晰成像;
3、传统光学相机成像视野45度,无法对眼底周边成像,易漏诊。
而超广角激光相机完美的解决了以上三个痛点,单张眼内成像上升到165度(光学镜头角度110度)、拼图成像超过220度,无需散瞳,无需暗室,针对屈光介质浑浊亦能清晰成像。可记录从彩照、术前视频,再到术后视频的诊治全过程。
此外,微清特有的“20倍无损光学变焦”技术,使即便刚从业的医生也能一键切换成像范围,同时快速对焦,告别传统的反复更换镜头的烦恼。微清认为,超广角共聚焦激光相机,将逐渐替代传统光学相机,成为下一代眼底照相机用户的第一选择,将改写眼底照相机市场的格局。
微清超广角激光相机图像及其光学变焦看细节影像
三:微清在视细胞和血流成像上
国内独家全球领先
超广角共焦激光眼底相机/造影机在动物实验中亦是首要选择,通过更换定制镜头,可使豚鼠等动物的眼底清晰成像。此外,超广角共焦激光技术为细胞层次的临床研究也带来了更多的可能性,5°视场角可清晰展示视细胞轮廓及小微动脉血流流速,全面揭示视网膜微结构的细节,深入捕捉细胞水平的病变,该技术全球领先。
豚鼠(体型50mm瞳孔1mm)眼底造影高清图像
四:在基层筛查、近视防控上,
微清已实现产品系列化覆盖
近视防控已经上升为国家战略,微清自主开发了基于Android平台的智能硬件,实现眼底照相机、数码裂隙灯、视力筛查仪等产品小型化与数字化,为国人建立“基层筛查-远程问诊-健康跟踪-分级转诊”的完整体系,在临床领域和科研领域得到广泛的应用。
微清智能硬件系列产品覆盖眼科、视光基层筛查
微清医疗创始人李超宏博士是光学成像与眼科影像诊断工程领域顶尖专家之一,对世界前沿的眼科医疗器械的底层技术及产品研发了解全面且精深。自2011年回国创办微清医疗以来,李超宏博士先后获得国家级人才工程、江苏省双创、姑苏领军等多项人才项目支持,并得到国家科技支撑计划、国家重点研发计划、国家自然基金等多项科研项目支持,发表SCI论文近20篇、申请国内外发明专利50余件、撰写学术专著1部。目前,李超宏博士被聘为中科院医工所、东南大学、温医等高校特聘教授,致力于前沿技术及其产业化的创新研发。
对于本轮融资成功,李超宏博士表示:“感谢德屹资本对微清团队的认可和支持,德屹资本对技术细节的理解、临床应用的前景以及产业化思维,给我们团队留下了深刻的印象。微清致力于做中国人自己的高端眼科影像与眼视光智能设备,技术为先,产业立志、回报团队,共享发展。微清期待与新老投资人携手向前。”
德屹资本肖辛野博士表示:“当前,眼科高端诊断设备主要被进口厂家垄断,鲜有国产企业涉足或技术难以达到国际水平,国产厂商中仅有个别可进入国际第一梯队,微清无疑是其中的佼佼者。德屹资本首先认可微清的底层技术能力,我们欣喜的看到某些产品的功能模块已实现全球领先;其次,我们认可微清的产品开发及营销思路,李博和团队在产品管线布局、商业化策略等方面,具有清晰的路线。在国产替代和中国医疗器械出海的大背景下,我们看好微清未来在海内外的表现。相信经过技术的沉淀与积累,微清将展现其在眼科设备领域的全产品覆盖能力,也将成长为能与世界百年品牌比肩的优秀企业。”
关于德屹资本
德屹资本专注于医疗健康、信息技术、消费升级等领域,管理团队拥有多年从事投资、证券和实业的经历和经验,在业界拥有广泛的市场资源和专业化的投后服务管理。在医疗健康领域,德屹资本已投资包括泽璟制药(688266.SH)、艾力斯医药(688578.SH)、益方生物、科望医药、Manteia数据科技、飞朔生物、华脉泰科、汇医慧影、景昱医疗、基点生物、尚医术康、诺峰药业、拨云生物等的行业领先和创新型企业。

























